top of page
ADVANCED GUM THERAPY
FROM £100 PER QUADRANT
WHAT IS
ADVANCED GUM THERAPY?
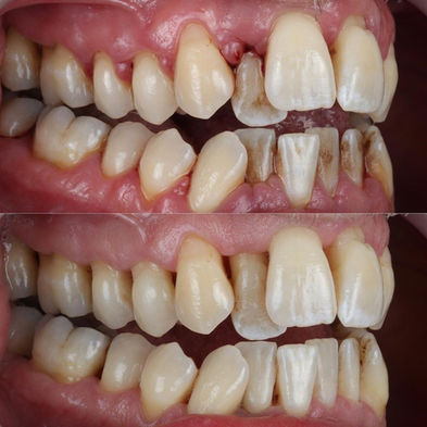
Gum disease is one of the most common oral health problems and if not treated can result in damage to the supporting structures of the teeth. This can lead to gum recession, sensitivity and even mobility or loss of teeth.
CB VIEWMROE
bottom of page





